WIR MACHEN ZÄHNE

"Wir sorgen für Ihr strahlendes Lachen"

Hochwertige Zahntechnik bedeutet gesunde und schöne Zähne. Perfekte Zähne erlangen im beruflichen, wie im privaten Alltag einen immer höheren Stellenwert. Zahntechnische Restaurationen können heute unter funktionellen, wie auch unter ästhetischen Gesichtspunkten, im Dentallabor so hergestellt werden, dass sie kaum mehr als Zahnersatz wahrnehmbar sind.

zahnersatz-veneers-schöne-Zähne-neue-Zähne-zirkon-vollkeramik-Zahnkrone-Implantat-Kosten-Unterschied-Camlog-Zirkon-bleaching-zahnarzt-Titan-Wiegand-Dental-Dentallabor-Ingolstadt-DentallaborIngolstadt-München-Nürnberg-Eichstätt-dentallab-3d-3dprint-cad-cam-cadcam-schnarcherschiene-knirscherschiene-vorteil-nachteil

JOBANGEBOT

Bewirb dich jetzt

Was bieten wir

Leistungen

01.

Zirkonkrone, Veneers, Inlays. Verschiedene Materialien & Methoden. Biokompatibel – Ästhetisch anspruchsvoll

02.

Festsitzend und herausnehmbar, 

03.

In verschieden Arten und Materialien . Auf Implantaten, gaumenfrei, metallfrei.

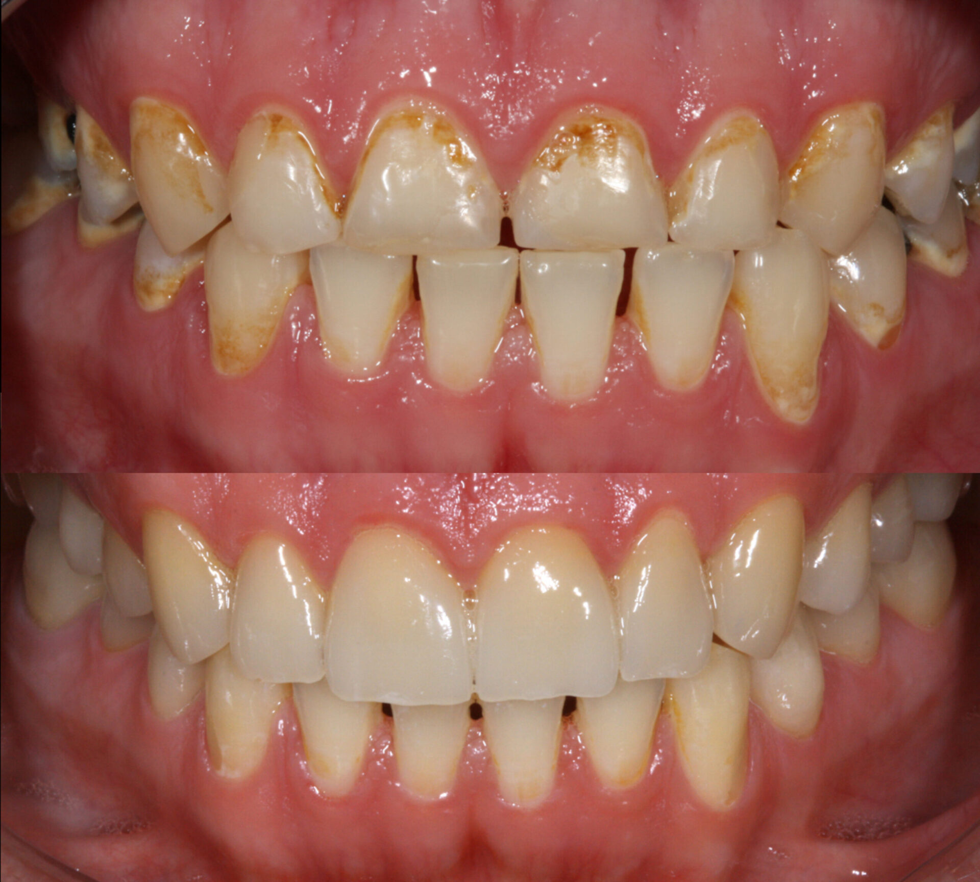
Beispiele

Vorher / Nachher

„Ein Bild sagt mehr als 1000 Worte.“

Nach oben scrollen